- The Use of Hybrid Imaging in Radiotherapy Treatment Planning
- Magnetic resonance imaging of the breast
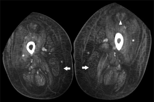
- Magnetic resonance imaging of collagenous connective tissues
- Molecular dynamics of hydrated collagen and its relationship to MRI properties of articular cartilage









