Treatment of Scoliosis varies from patient to patient. Below is an overview of just some treatments options:
Bracing
The most common treatment for scoliosis patients between the ages of 10 to 13 are bracing and monitoring. Braces are made of a hard plastic and is custom made to suit each patient’s spinal deformity. The aim of bracing is to prevent or slow the rate of progression of the curve during the rapid adolescent growth spurt. If left untreated, there is a higher risk of the curvature worsening, and thus may cause adverse health issues in the future. Later in life, it may worsen with pregnancy again if left untreated, but will not impact on falling pregnant. It is important to refer to your general practitioner or spine specialist.
Bracing is mainly used when a progressive curve is evident of 20 to 50 degrees. The patient is more likely to receive treatment if the curve is large and within the ages of 10-12, decreasing in likeliness as the child grows older (until around the age of 16 and over). This is because the curve develops most rapidly during the growth spurt which occurs within the ages of 11-13.
This also means that the brace will usually last 1 to 2 years, which is dependent on the child’s growth. The number of hours the brace needs to be worn per day is based on what your doctor prescribes, but most often the brace must be worn for 16 to 20 hours per day, and is only taken off for swimming and showering. The brace is also generally worn during sport and exercise. The brace is worn until either the curves disappear or until the child stops growing.
Monitoring
Monitoring is also a significant part of the treatment process. It centers around regular physical examination through the growth phase, with x-rays as required. With AIS (Adolescent Idiopathic Scoliosis) patients, the curve is measured through x-rays, and the only effective treatments in the management for AIS is bracing or surgery. Minor curves of less than 25 degrees do not require treatment and are merely observed as a precautionary measure during the child’s growth phase to ensure it does not worsen.
Surgery
In some cases, surgery may be required, depending on the extent of the curve. In the last 20 years there have been major advances in surgical techniques for the correction of all spinal deformities, with enhances in the effectiveness and success rate of surgeries.
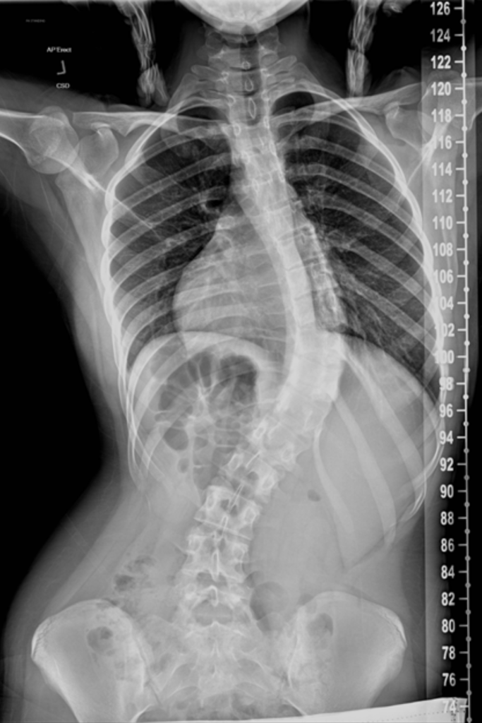
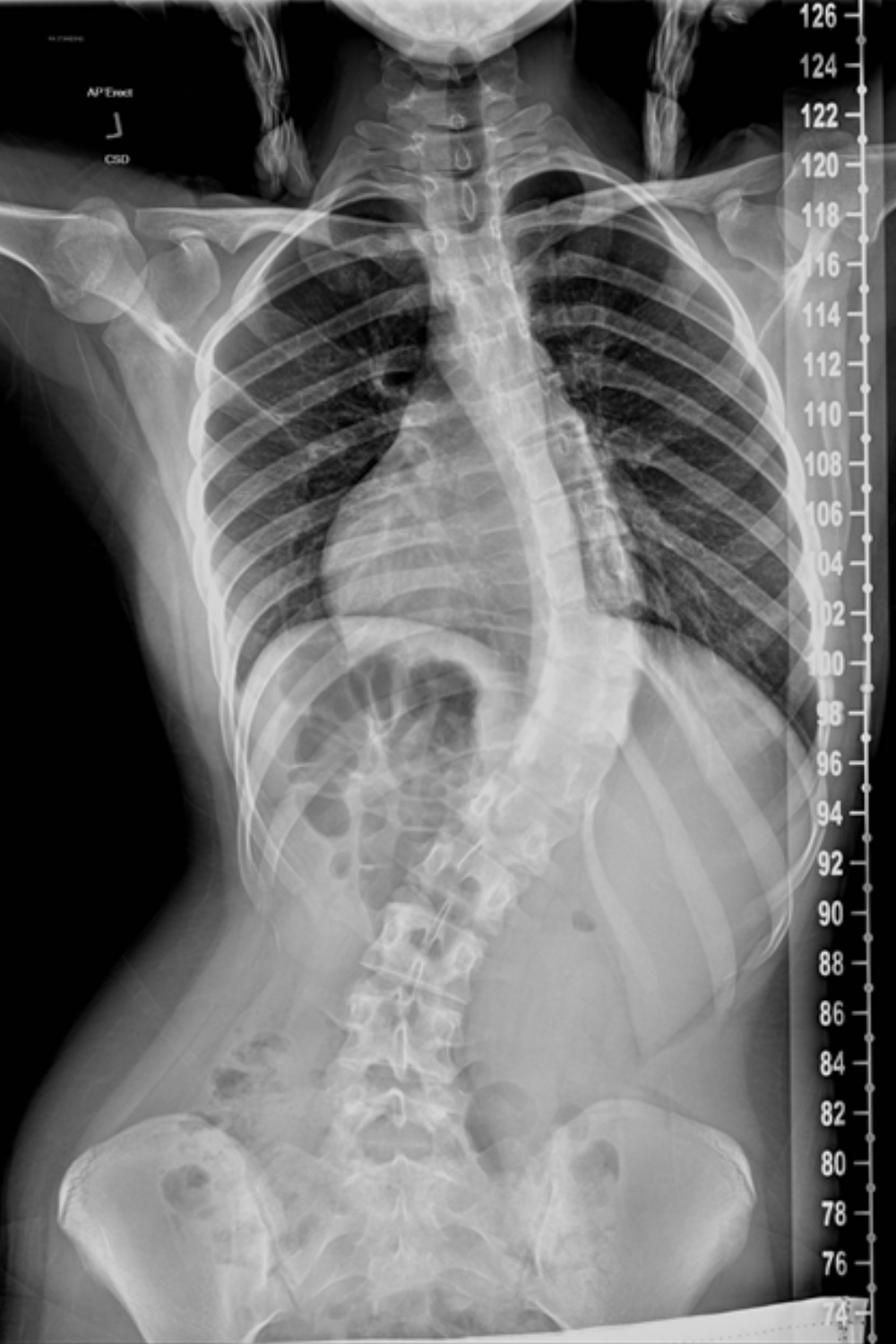
Below is a comparison of before and after images and x-rays of a teenager who underwent surgery due to her scoliosis:
Before |
|
![]() |
![]() |
After |
|
![]() |
![]() |




